目立たない入れ歯 スマイルデンチャー
スマイルデンチャーとは
金属のバネを使用していない入れ歯です。
入れ歯と異なりポリアミド樹脂で制作しておりますので、点が特徴です。
また、患者様1人1人にジャストサイズでぴったりな物を作成可能で、という特徴を持っています。
- 薄いのでしゃべりやすい
- 壊れにくい
- 小さくて軽い
スマイルデンチャーの特徴
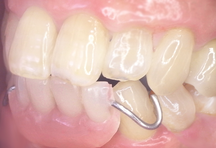
金具のない入れ歯(部分入れ歯)スマイルデンチャーは「目立たない」「丈夫」「噛める」「痛くない」など、入れ歯でいることを感じさせません。様々な点に優れた、全く新しい入れ歯です。
| 保険の入れ歯 | スマイルデンチャー |
|---|---|
![]() |
![]() |
| デメリット 1. 金属部分が目立つ 2. 周りの健康な歯を削る |
メリット 1. 入れ歯が目立たない 2. 歯を削らない 3. 壊れにくい |
保険の入れ歯でお困りの方へ
- 金属部分が目立ってイヤだ
- あまく上手く噛めない
- 入れ歯がフィットしない
スマイルデンチャーで
笑顔を取り戻そう!
スマイルデンチャーのメリット
- 耐久性が高い
- 身体に優しい
- 快適である
- 見た目がきれい
- 強く噛める
- 痛くない
スマイルデンチャーの種類
スタンダードタイプ(スマイルデンチャー)
柔軟性・審美性に優れたノンメタルクラスプデンチャーの先駆け。

co-cr(コバルトクロム)床をプラスした(スマイルデンチャーCプラス)
スマイルデンチャーは大きな入れ歯を安定させるために金属を合わせることもできます。

チタン床をプラスした(スマイルデンチャーTiプラス)
スマイルデンチャーにチタンを採用したのがスマイルデンチャーTi+です。

| 保険の入れ歯 レジン床 |
スマイルデンチャー | スマイルデンチャーC+、Ti+ | |
|---|---|---|---|
| 大きい入れ歯 | ◎ | ◯ | ◎ |
| 痛みにくい | ✖️ | ◯ | ◯ |
| 軽さ | ✖️ | ◎ | ◯ |
| 噛む力 | △ | ◯ | ◎ |
| 熱の感じやすさ | ✖️ | △ | ◎ |
※横にスライドしてご覧いただけます。
料金表
| スマイルデンチャー片側 | ¥100,000 |
|---|---|
| スマイルデンチャー両側 | ¥200,000 |
| スマイルデンチャーシリコン片側 | ¥150,000 |
| スマイルデンチャーシリコン両側(裏装) | ¥250,000 |
| スマイルデンチャーC+(コバルトクロム床) | ¥300,000 |
| スマイルデンチャーTi+(コバルトクロム床) | ¥330,000 |
お問合せ
「目立たない・痛くない・壊れにくい」新しい入れ歯で、 自信を持って笑えるようになりましょう。
最新の技術で作られたスマイルデンチャーは、従来の入れ歯の悩みを解決します。自然な見た目と快適な装着感で、あなたの笑顔をより美しく輝かせます。
まずは一度ご相談いただけたらと思います。
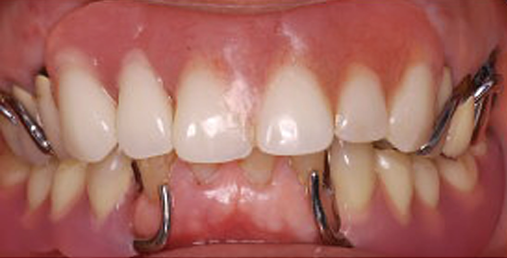
スマイルデンチャーの症例
多数の歯を失われてしまった患者様ですが、スマイルデンチャーをいれることで格段に美しい口腔内に変化しました。
~CASE1~
| 保険の入れ歯 | スマイルデンチャー |
|---|---|
![]() |
![]() |
金属でいっぱいだったお口の中が、
写真を撮るためくちびるを全開にしていますが、これが普段の会話程度の口元の開き具合ならば、全くと言って良いほど、入れ歯とは
実際の愛用者様の声
日本歯科審美学会総会・学術大学にてスマイルデンチャーの満足度調査結果が発表されました。
調査した115名の内、約8割の患者様が総合的に満足し、友人に勧めてもよいという結果が出ました。
60代男性
以前使用の 入れ歯と比べて、スマイルデンチャーは自他共に入れ歯を入れているとは思えないくらい快適です。とても嬉しいです。ありがとうございます。
70代女性
漬物やお肉を噛み切る事ができるようになり食事が楽しいです。入れ歯の中に挟まりにくいので助かります。
友人が集まると自然と歯の話も出ますので、スマイルデンチャー薦めています。
40代男性
以前の入れ歯では大口を開けて笑うことにも躊躇していました。このスマイルデンチャーのおかげで、気持ちも明るくなりました。
30代男性
インプラントの様な手術の不安も費用の心配もありませんでした。
長く使用するために
よく噛むことの大切さ
多くの人が、80歳までに多数の歯を失っていると言われています。噛むことは日常の生活の中でとても大切な事です。
口腔内環境がいかに全身の健康に影響するかも、近年医学の観点からも認められています。生涯に渡って健康な歯を維持していただくためにも、日々の生活の中でしっかりケアし、
3ヶ月に一度の定期検診
完成当初はぴったりだった入れ歯も、アゴの骨が痩せたりする事で少しずつ合わなくなってきます。



















